Cashless Treatment

Coronary Angiography Cost in Ludhiana, Punjab

The Role of Coronary Angiogram in Diagnosing Heart Conditions

Medical developments have played a critical role in delivering precise assessments and effective therapies for cardiac problems. Coronary angiography is one such diagnostic method that has transformed the area of cardiology. Coronary angiography provides thorough imaging of the heart’s blood vessels, allowing doctors to assess the presence of blockages or narrowing and make informed judgments regarding additional interventions or therapies. In this detailed tutorial, we will look at the importance of coronary angiography in Ludhiana, as well as its process, benefits, and function in identifying heart issues. Understanding this important diagnostic tool can help people obtain insights into their cardiovascular health and make informed decisions regarding their health. We will also discuss the angiography cost in Ludhiana and feature the significance of choosing the best angiography testing centre in Punjab for accurate outcomes.

Best Heart Hospital in Ludhiana

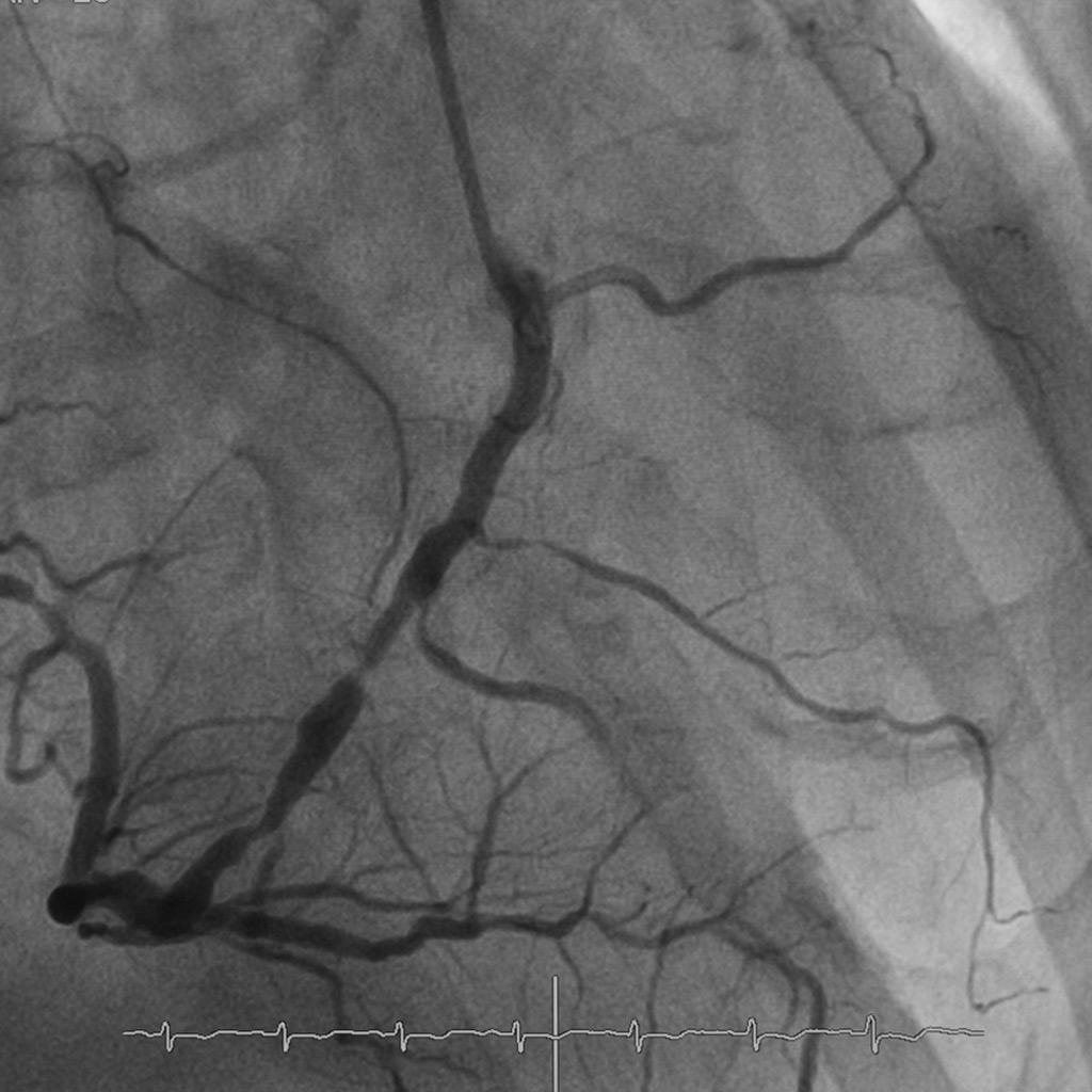
Understanding Coronary Angiogram:

Coronary angiography is a diagnostic procedure that permits cardiologists to picture the blood vessels providing the heart. It includes the utilization of a different dye and X-ray imaging to look at the coronary arteries for blockages or irregularities.

  1. Accurate Diagnosis of Heart Conditions: It provides exact and constant pictures of the heart’s blood vessels, permitting cardiologists to identify blockages, narrowed arteries, or different irregularities. By acquiring accurate diagnostic information, healthcare experts can determine the most proper treatment plan tailored to every patient’s specific condition.
  2. Evaluation of Blood Flow to the Heart: During a coronary angiogram, the flow of blood to the heart can be evaluated. The procedure decides whether there are any areas of reduced blood flow due to blockages or different issues. This data is essential in surveying the seriousness of the condition and guiding further treatment decisions, like the need for angioplasty, stenting, or bypass surgery.
  3. Guidance for Interventional Procedures: Coronary angiography also assists as a guide for interventional procedures. If blockages or narrowed arteries are identified, cardiologists can perform angioplasty and stenting during a comparative procedure to restore blood flow. The ongoing pictures obtained through the angiogram aid in accurately setting the stent and guaranteeing its adequacy in opening the blocked artery.

Choosing the Best Coronary Angiography Doctor and Center:

For accurate outcomes and dependable care, it is fundamental to pick the best coronary angiography doctor and testing focus. In Ludhiana, the Deepak Heart Institute stands as a renowned establishment known for its expertise in cardiac care. With exceptionally skilled experts and cutting-edge facilities, they provide comprehensive diagnostic and treatment services. By choosing the institute, patients can profit from the experience of the best coronary angiography doctor in Ludhiana and access top-quality care.

Conclusion:

Coronary angiography plays an essential role in diagnosing heart conditions, empowering healthcare experts to evaluate the health of the heart’s blood vessels accurately. This procedure assists in determining the presence of blockages or irregularities and guides with facilitating treatment decisions. By picking the best coronary angiography doctor in Ludhiana and the best angiography testing focus in Punjab, patients can get accurate diagnostic services and access comprehensive cardiac care. The expertise provided by these experts guarantees accurate diagnosis, fitting treatment arranging, and improves overall cardiovascular health.

Scroll to Top

Book a Appointment